Orthognathic Surgery (Corrective Jaw Surgery)

Orthognathic surgery comes from the greek for "orthos" aligned, "gnathos" jaws, literally meaning alignment of the jaws.  People with misaligned jaws have two problems:

  1. A malocclusion (a bad bite)
  2. Abnormal facial proportions

This surgery takes people with misaligned jaws and corrects both problems.  By surgically correcting the position of the jaws the bite is fixed while improving facial proportions and thus facial esthetics.  Orthognathic surgery is a functional surgery.  It takes people who can not chew and sometimes speak properly and restores normal function.  All while improving a patient's look.

 

Sometimes braces alone can not fix a person's bite.  In these cases there is a skeletal problem and surgery is the proper solution.  The surgery requires that the abnormal dental compensations are removed with presurgical braces, however.  This sets up the teeth so that the there is maximum benefit from the surgery.

 

It is estimated that approximately 2.5% of the U.S. population has facial proportions and severe malocclusion that would put these individuals into a dentofacial deformity category.

 

Refer to the American Association of Oral and Maxillofacial Surgeons website for more information:

http://www.aaoms.org/jaw_surgery.php

Virtual Treatment Planning

Before and After Pictures

Full Case at Bottom

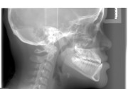
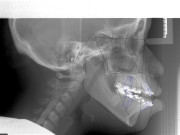
Prediction and Preoperative Workup with Model Surgery

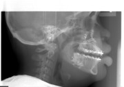
The surgical team spends much time and energy in collaboration with the orthodontist to plan the surgery.  A joint treatment plan is devised.  The orthodontist sets up for the surgery with braces.  The surgical team then plans the surgery using xrays to predict the movements, performs the surgery on models, then fabricates acrylic splints to guide the surgical team in the operating room.

Case from Start to Finish

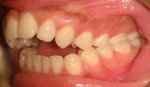
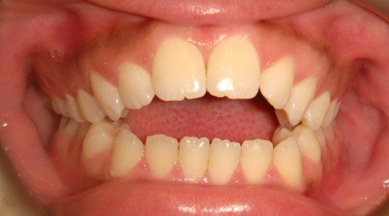
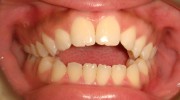
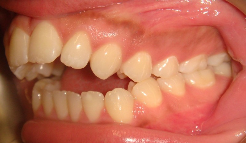
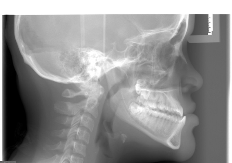
Pretreatment - Patient on Presentation

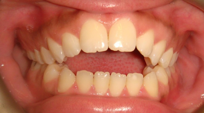
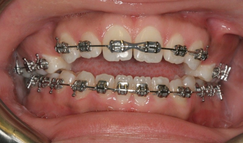
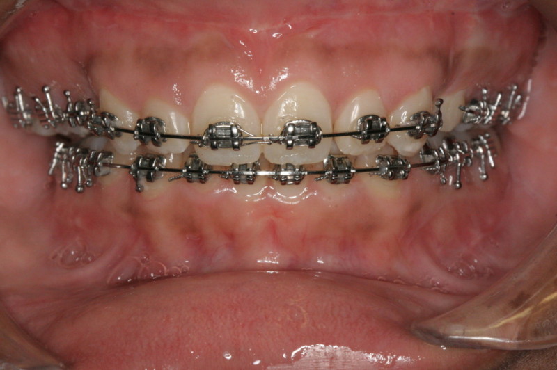
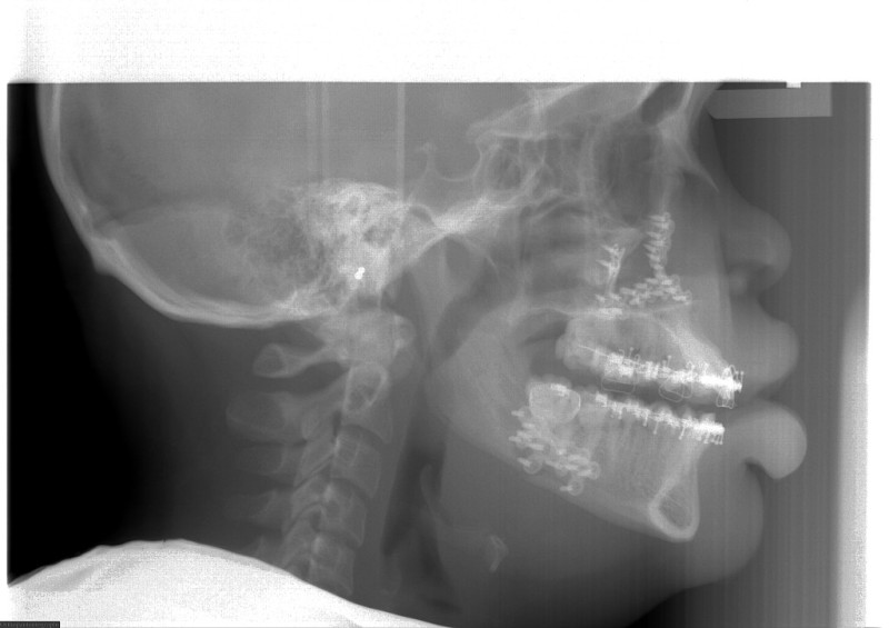
After Orthodontic Setup - Presurgical

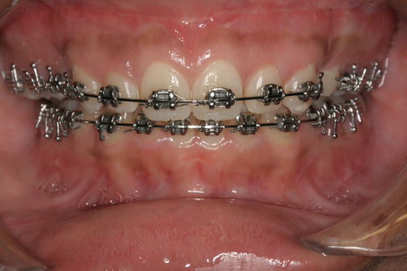
Finished Patient with a Perfect Bite and Excellent Facial Proportions

Make an Appointment

Phone

(914) 302-2689

 

E-mail

yorktownoralsurgery@gmail.com

 

Address

 

Yorktown Oral and Maxillofacial Surgery 

1846 Commerce St

Yorktown Heights, NY 10598

 

Feel free to use our contact form.

 

Hours

All weekdays and saturdays

 

Outside our regular business hours, please note our emergency care information.

 

News

Keep informed of everything going on at Yorktown Oral and Maxillofacial Surgery via our site.

 

All announcements

Check us out on facebook.

Print | Sitemap
© Yorktown Oral and Maxillofacial Surgery