Facial Trauma

Trauma to the face can result in soft tissue or bony injuries.  Lacerations of the face, lips, or oral mucosa can be repaired in the Emergency Room or in the office.

Facial Bone and Jaw Fractures

When there is facial trauma there can be injuries to the underlying bones of the face.  These include the forehead, the eye sockets (orbits), the cheek bones, the nose, and the jaws. 

 

The maxillofacial skeleton is an important area of the body that is involved in important functions:

 

  • Eyesight
  • Smell
  • Speaking
  • Chewing
  • Swallowing

Our face also defines our appearance.  The facial skeleton sets the tone for someone's facial look.  It is important to seek a well trained and experienced maxillofacial trauma surgeon to properly reconstruct the facial bones when they are broken.

 

Dr. Vakkas has been taking trauma call at several hospitals including a Level I center in the Bronx.  This has given him valuable expertise.

 

No longer do you need to be wired shut for 6 - 8 weeks.  There are alternatives using the latest techniques.

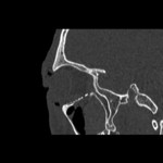
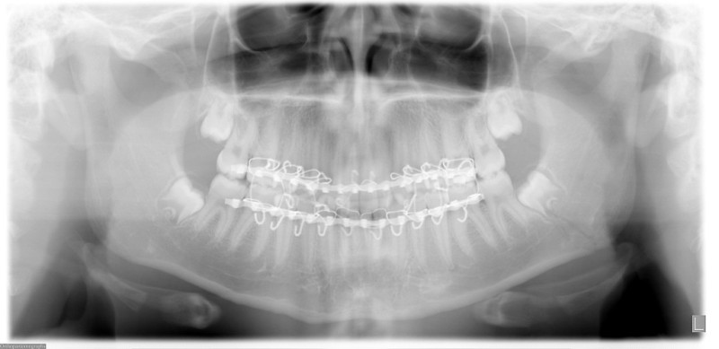
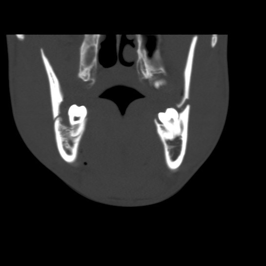
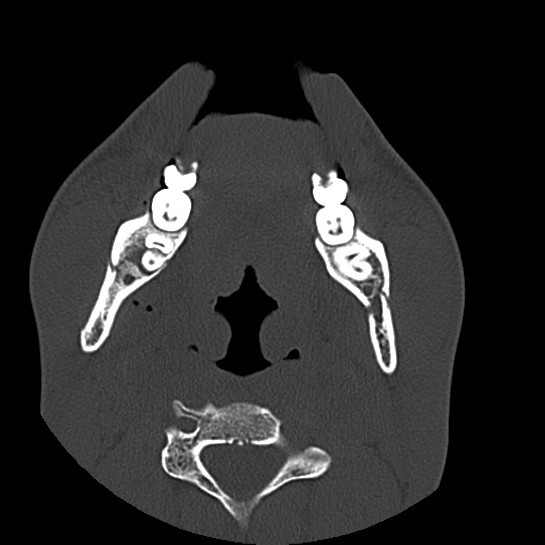
Facial Fracture X-Rays

Make an Appointment

Phone

(914) 302-2689

 

E-mail

yorktownoralsurgery@gmail.com

 

Address

 

Yorktown Oral and Maxillofacial Surgery 

1846 Commerce St

Yorktown Heights, NY 10598

 

Feel free to use our contact form.

 

Hours

All weekdays and saturdays

 

Outside our regular business hours, please note our emergency care information.

 

News

Keep informed of everything going on at Yorktown Oral and Maxillofacial Surgery via our site.

 

All announcements

Check us out on facebook.

Print | Sitemap
© Yorktown Oral and Maxillofacial Surgery