Oral Lesions and Pathology

There can be different diseases of the mouth that present difficulties to people who suffer from them.

 

  • Ulcers and blistering
  • Leukoplakia (white lesions)
  • Growths and mucosal tumors
  • Salivary gland problems

The oral surgeon is best trained to handle such maladies.

Jaw Lesions and Pathology

The jaws can be susceptible to developing certain diseases that many times are unique to the maxillofacial skeleton.

 

  • Bone infections called osteomyelitis
  • Cysts either developmental or of unique dental tissue origin
  • Tumors
    • like those found in other parts of the skeleton
    • ones originating from unique dental tissues
    • metastases from cancers
  • Metabolic disorders resulting in disruption of normal jaw health

As a board certified and well trained oral and maxillofacial surgeon Dr. Vakkas can diagnose, treat, and if necessary reconstruct the jaws that are affected by disease.

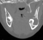
Cyst Associated with an Impacted Tooth in a Child

Make an Appointment

Phone

(914) 302-2689

 

E-mail

yorktownoralsurgery@gmail.com

 

Address

 

Yorktown Oral and Maxillofacial Surgery 

1846 Commerce St

Yorktown Heights, NY 10598

 

Feel free to use our contact form.

 

Hours

All weekdays and saturdays

 

Outside our regular business hours, please note our emergency care information.

 

News

Keep informed of everything going on at Yorktown Oral and Maxillofacial Surgery via our site.

 

All announcements

Check us out on facebook.

Print | Sitemap
© Yorktown Oral and Maxillofacial Surgery