Bone Grafting

Dental Implants are terrific.  They are the most predictable and long lasting solution to tooth loss.  There needs to be enough bone for the implants to be placed however.

 

Bone grafting is essentially the building up of the jaw bone to accomodate dental implant placement.  There are different ways we can grow bone.  Options include bone grafted either from the patient or other donor, use of synthetic mineral, and human growth factors.  It is an exciting time for dental patients.

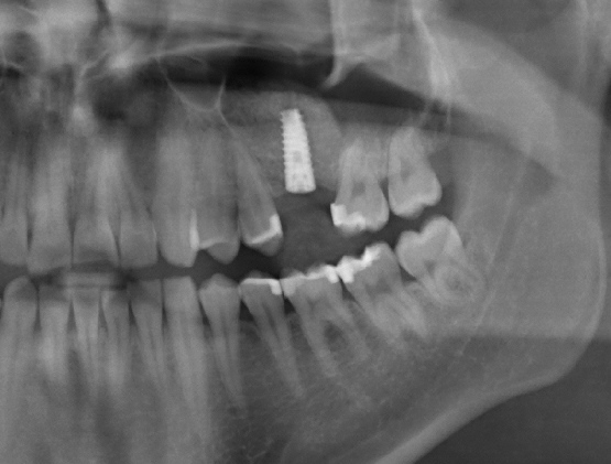
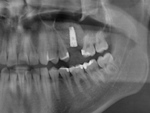
Sinus Lift With Simultaneous Implant

Sinus Lift

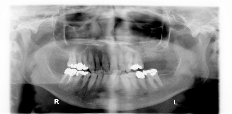
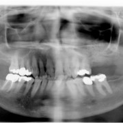
Alveolar Cleft (Defect in the Upper Jaw) Repaired with a Hip Bone Graft

Before

After Bone Graft

Make an Appointment

Phone

(914) 302-2689

 

E-mail

yorktownoralsurgery@gmail.com

 

Address

 

Yorktown Oral and Maxillofacial Surgery 

1846 Commerce St

Yorktown Heights, NY 10598

 

Feel free to use our contact form.

 

Hours

All weekdays and saturdays

 

Outside our regular business hours, please note our emergency care information.

 

News

Keep informed of everything going on at Yorktown Oral and Maxillofacial Surgery via our site.

 

All announcements

Check us out on facebook.

Print | Sitemap
© Yorktown Oral and Maxillofacial Surgery