Dental Implants

There are several ways to restore teeth when they are lost.

  • Bridges
    • Teeth adjacent to the space are drilled down to accomodate caps.  A false tooth is bridged in between the caps.
  • Removable partial dentures
    • False teeth are attached to the adjacent teeth with clasps.
  • Dental Implants
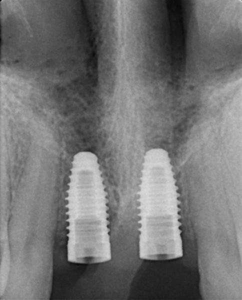
    • Titanium root shaped implants are placed into the jaw.  The bone grows to the surface resulting in integration (fusion of the jawbone directly to the implant).  Teeth can then be restored on top of the integrated implant(s).

Dental implants are the most predictable way to restore missing teeth.  Implants are also the best long term restoration.

  • Bridges can have a life span of around ten years, depending.  They can break, teeth supporting them can require root canals or become decayed.
  • Denture Clasps are unsightly and can break.  Overtime the jaw will remodel and require the denture to be remade as it loosens.

Implants, if cared for properly, can last for a lifetime.  The question is, "why shave down perfectly good teeth for a bridge", when dental implants are so predictable?

 

Dental implants also offer physiologic and anatomic benefits over dentures and bridges.

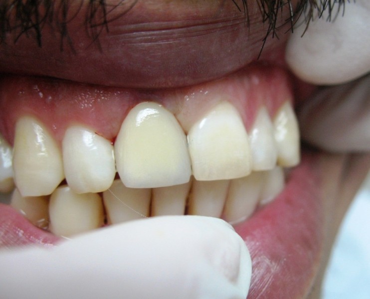
  • They look and feel like solid natural teeth
  • They withstand bite forces well
  • They maintain bone volume due to the physical demands placed on the bone.  No hollowing out of the gum as seen under and around dentures and bridges.
  • They are fixed and will not flop around like dentures.

Refer to the American Association of Oral and Maxillofacial Surgeons website for more information:

http://myoms.org/procedures/dental-implant-surgery

Many types of dentists place dental implants, but Oral Surgeons are the best trained specialists.  Their advanced training and experience makes all the difference from single tooth implants to full mouth restoration.

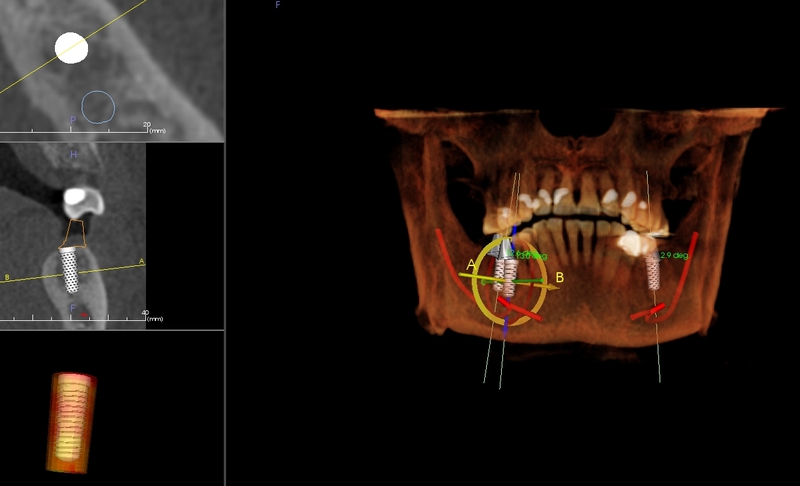
CT Scanner for Optimal Treatment Planning

New iCAT CT scanner offers precise imaging with radiation comparable to traditional x-ray units.  Using this 3D imaging technology the doctor can accurately plan surgery, avoid complications, and create custom implant treament plans.

 

The CT scanner's imaging allows us to create custom made surgical guides specific to each patient.  These surgical guides allow the precise placement of dental implants for optimal functional and esthetic results.

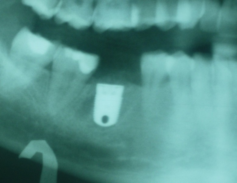
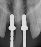
CT Guided Custom Implant Placment

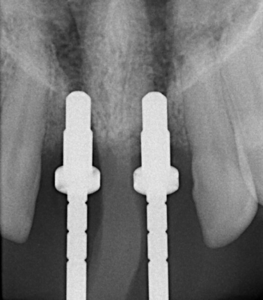
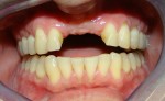
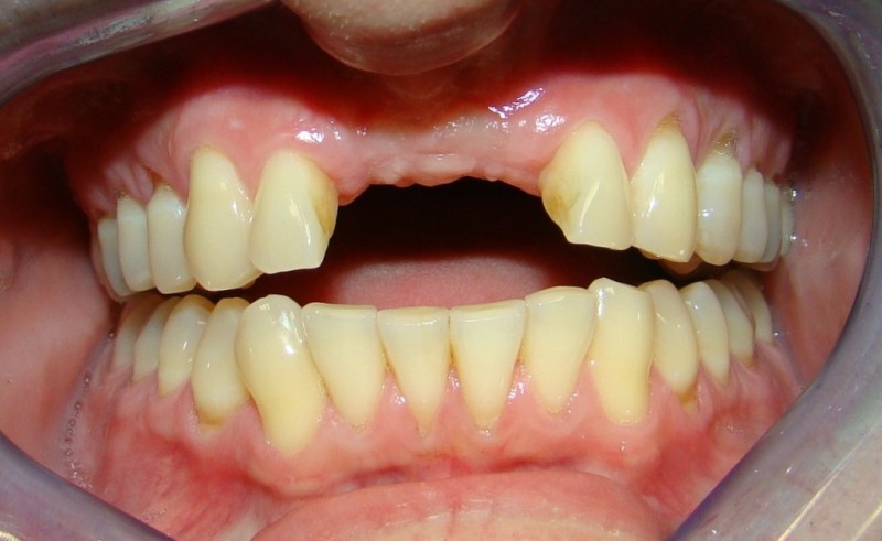
A Case with a Fractured Central Incisor

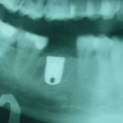
Immediate Molar Implant

Make an Appointment

Phone

(914) 302-2689

 

E-mail

yorktownoralsurgery@gmail.com

 

Address

 

Yorktown Oral and Maxillofacial Surgery 

1846 Commerce St

Yorktown Heights, NY 10598

 

Feel free to use our contact form.

 

Hours

All weekdays and saturdays

 

Outside our regular business hours, please note our emergency care information.

 

News

Keep informed of everything going on at Yorktown Oral and Maxillofacial Surgery via our site.

 

All announcements

Check us out on facebook.

Print | Sitemap
© Yorktown Oral and Maxillofacial Surgery